Tomografia Computadorizada da Coluna Vertebral

Introdução Geral

A tomografia computadorizada (TC) da coluna vertebral é uma modalidade de imagem essencial no curso técnico em radiologia, permitindo a visualização detalhada de estruturas ósseas, tecidos moles e patologias associadas. A TC oferece imagens de alta resolução, com cortes axiais, sagitais e coronais por reconstrução multiplanar (MPR), sendo particularmente útil para avaliar traumas, degenerações, infecções e tumores.

Princípios Básicos para Técnicos:

O material é dividido por segmentos da coluna: Cervical, Torácica, Lombar e Sacral/Coccígea. Cada seção inclui anatomia, indicações, protocolo, achados normais e patologias comuns.

Paisagem Montanhosa

Coluna Vertebral

Esquema anatômico da coluna vertebral.

Arquitetura Moderna

Coluna Vertebral

Esquema anatômico.

1. Coluna Cervical

Anatomia Relevante em TC

A coluna cervical compreende 7 vértebras (C1-C7), com estruturas como forame magno, atlas (C1), áxis (C2), processos espinhosos curtos e forames transversos para artérias vertebrais. Discos intervertebrais finos, ligamentos (alares, transverso) e canal medular estreito. Visualizar em cortes axiais: corpos vertebrais, pedículos, lâminas, processos articulares; em MPR: lordose fisiológica.

Indicações

Protocolo de TC

Parâmetro Valor Recomendado Observações
Área de Cobertura Base do crânio até D1 Incluir junção craniocervical.
Espessura de Corte 1-2 mm (axial), reconstruções 1 mm MPR sagital/coronal para alinhamento.
kV/mAs 120 kV / 200 mAs Ajustar para pediátricos.
Contraste IV 80-100 mL (300-370 mgI/mL), fluxo 3-4 mL/s Fase arterial/venosa para tumores; sem contraste em trauma puro.
Tempo de Aquisição <10s Minimizar movimento.

Preparação: Avaliar contraindicações a contraste; posicionar cabeça em neutro.

Achados Normais

Patologias Comuns e Aparência em TC

Dicas para Técnicos: Monitore respiração para evitar artefatos; use almofada sob pescoço para conforto.

Paisagem Montanhosa

Coluna Cervical

Esquema anatômico da coluna cervical.

Arquitetura Moderna

Coluna Cervical

Esquema anatômico.

2. Coluna Torácica

Anatomia Relevante em TC

12 vértebras (T1-T12), com costelas articulares, processos espinhosos longos e canal medular triangular. Discos espessos, lordose mínima. Em TC: visualizar costovertebrais, pedículos largos, ângulo costal.

Indicações

Protocolo de TC

Parâmetro Valor Recomendado Observações
Área de Cobertura C7 até L1 Incluir uma vértebra acima/abaixo se suspeita de transição.
Espessura de Corte 2-3 mm (axial), reconstruções 2 mm MPR para costelas e alinhamento.
kV/mAs 120 kV / 180 mAs Reduzir dose em exames rotineiros.
Contraste IV 100 mL (300 mgI/mL), fluxo 3 mL/s Opcional para abscessos; oral se esôfago envolvido.
Tempo de Aquisição 10-15s Braços elevados para reduzir artefatos.

Preparação: Verificar alergias; explicar respiração suspensa.

Achados Normais

Patologias Comuns e Aparência em TC

Dicas para Técnicos: Posicione braços acima da cabeça; monitore pulmão para artefatos respiratórios.

Paisagem Montanhosa

Coluna Dorsal

Esquema anatômico da coluna cervical.

Arquitetura Moderna

Coluna Dorsal

Esquema anatômico.

3. Coluna Lombar

Anatomia Relevante em TC

5 vértebras (L1-L5), corpos largos, processos transversos longos, lordose acentuada. Discos espessos, forames intervertebrais amplos. Em TC: focar em facetas articulares, ligamento flavum, conus medullaris em L1-L2.

Indicações

Protocolo de TC

Parâmetro Valor Recomendado Observações
Área de Cobertura T12 até S1 Uma vértebra acima/abaixo para transições.
Espessura de Corte 1-3 mm (axial nos discos), reconstruções 1-2 mm MPR sagital para listese.
kV/mAs 120 kV / 200 mAs Ajuste para obesidade.
Contraste IV 100-120 mL (370 mgI/mL), fluxo 4 mL/s Para infecções/tumores; sem em degenerativo puro.
Tempo de Aquisição <15s Supressão de movimento lombar.

Preparação: Jejum se contraste; avaliar próteses.

Achados Normais

Patologias Comuns e Aparência em TC

Dicas para Técnicos: Use suporte lombar; oriente flexão/extensão se dinâmico.

Paisagem Montanhosa

Coluna Lombar

Esquema anatômico da coluna cervical.

Arquitetura Moderna

Coluna Lombar

Esquema anatômico.

4. Coluna Sacral e Coccígea

Anatomia Relevante em TC

Sacro (S1-S5 fundidos), cóccix (4-5 segmentos). Forames sacrais, articulação sacroilíaca, canal sacral triangular. Em TC: visualizar decúbito sacral, hiato sacral.

Indicações

Protocolo de TC

Parâmetro Valor Recomendado Observações
Área de Cobertura L5 até cóccix Incluir sacroilíacas bilateralmente.
Espessura de Corte 2-3 mm (axial), reconstruções 2 mm MPR coronal para sacroilíacas.
kV/mAs 120 kV / 150 mAs Baixa dose para ossos densos.
Contraste IV 80 mL (300 mgI/mL), fluxo 2-3 mL/s Para artrite/infecção.
Tempo de Aquisição 5-10s Posição prona se coccígea.

Preparação: Sem jejum rotineiro; avaliar mobilidade pélvica.

Achados Normais

Patologias Comuns e Aparência em TC

Dicas para Técnicos: Posicione prono para melhor visualização coccígea; minimize dose devido à proximidade gonadal.

Paisagem Montanhosa

Coluna Sacral

Esquema anatômico da coluna cervical.

Arquitetura Moderna

Coluna Sacral

Esquema anatômico.

Considerações Finais e Atividades Práticas

Este material é baseado em protocolos padronizados do CBR e literatura radiológica. Para atualizações, consulte fontes primárias. Recomenda-se prática supervisionada em equipamentos multislice.

Paisagem Montanhosa

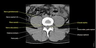
Coluna Lombar

Corte Lombar.

Arquitetura Moderna

Coluna Lombar

Corte Lombar.