Tomografia Computadorizada
Domine os princípios físicos, técnicas de aquisição e protocolos de exames em TC, desde os fundamentos até as aplicações avançadas como angiotomografia e biópsias guiadas.
Esta disciplina abrange 38 aulas com conteúdo teórico, prático e avaliações para capacitação completa em tomografia computadorizada.
Cronograma Completo da Disciplina
| Aula | Conteúdo | Tipo | Material |
|---|---|---|---|
| 1° Aula | Apresentação da disciplina; princípios básicos e história da TC; gerações de Tomógrafos. Componentes do Tomógrafo. | Teórica | Acessar |
| 2° Aula | Detectores, imagem física, matriz, aquisição de imagens convencional e helicoidal, delay, pitch.Vantagens e desvantagens da TC; Escala de Hounsfield | Teórica | Acessar |
| 3° Aula | Parâmetros Técnicos e Protocolos de Exame | Teórica | Acessar |
| 4° Aula | Parâmetros Técnicos e Protocolos de Exame. | Teórica | Acessar |
| 5° Aula | Atividade de fixação de protocolo | Prática | Acessar |
| 6° Aula | Atividade de fixação de protocolo< | Prática | td>Acessar|
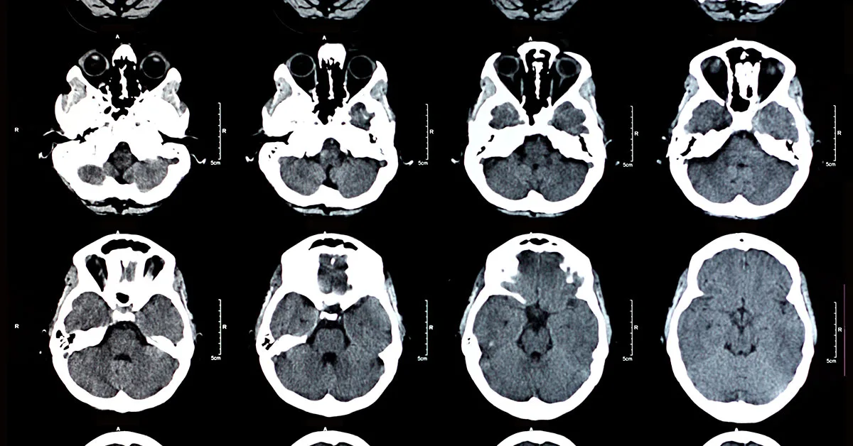
| 7° Aula | Estudo do Crânio (Crânio, Órbita) – anatomia, protocolo. | Teórica | Acessar |
| 8° Aula | Anatomia, protocolo (Crânio e Órbita) | Teórica | Acessar |
| 9° Aula | Estudo da Face (Seios da Face, ATM, Mandíbula) – anatomia, protocolo | Teórica | Acessar |
| 10° Aula | Estudo da Face (Seios da Face, ATM, Mandíbula) | Teórica | td>Acessar|
| 11° Aula | Avaliação 1 | Avaliação | Acessar |
| 12° Aula | Correção da Avaliação 1 | Teórica | Download |
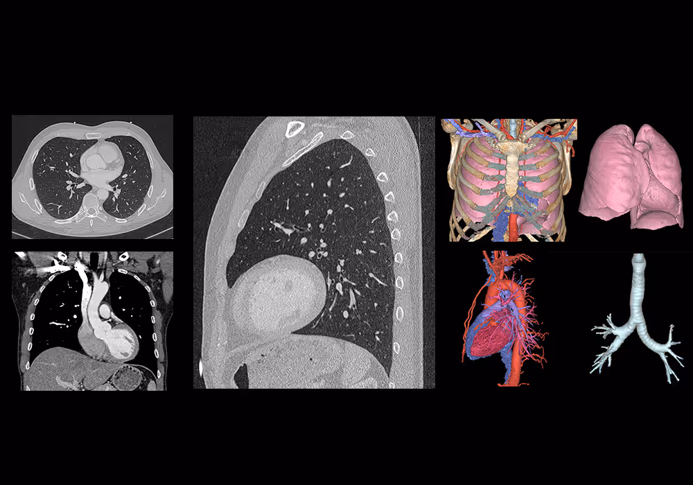
| 13° Aula | Estudo do Tórax – anatomia, protocolo. | Teórica | Acessar |
| 14° Aula | Atividade para complementação de conteúdos | Teórica | eóricaAcessar |
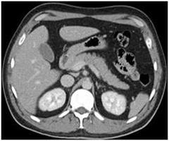
| 15° Aula | Estudo do Abdome e pelve – anatomia, protocolo. | Teórica | Acessar |
| 16° Aula | Estudo do Abdome e pelve – anatomia, protocolo | Teórica | Acessar |
| 17° Aula | Estudo de fixação de TC Tórax, Abdome e Pelve. | Teórica | Acessar |
| 18° Aula | Estudo de fixação de TC Tórax, Abdome e Pelve.. | Teórica | Acessar |
| 19° Aula | Estudo de fixação de TC Tórax, Abdome e Pelve. | Prática | Acessar |
| 20° Aula | Estudo de fixação de TC Tórax, Abdome e Pelve. | Teórica | Acessar |
| 21° Aula | Atividade para complementação de conteúdos | Prática | Download |
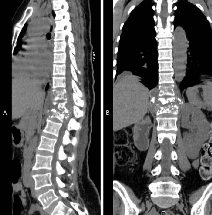
| 22° Aula | Estudo das Colunas (Cervical) – anatomia, protocolo. | Teórica | Acessar |
| 23° Aula | Atividade para complementação de conteúdos | Prática | Download |
| 24° Aula | Estudo das Colunas (Dorsal) – anatomia, protocolo. | Teórica | Acessar |
| 25° Aula | Atividade para complementação de conteúdos | Prática | Download |
| 26° Aula | Estudo das Colunas (Lombar) – anatomia, protocolo. | Teórica | Acessar |
| 27° Aula | Atividade para complementação de conteúdos | Prática | Download |
| 28° Aula | Avaliação 2 | Avaliação | Acessar |
| 29° Aula | Correção da Avaliação 2 | Teórica | Download |
| 30° Aula | Estudo dos Membros Superiores – anatomia, protocolo. | Teórica | Acessar |
| 31° Aula | Estudo dos Membros Superiores – anatomia, protocolo. | Teórica | Acessar |
| 32° Aula | Estudo dos Membros Inferiores - anatomia, protocolo | Teórica | Acessar |
| 33° Aula | Estudo dos Membros Inferiores - anatomia, protocolo | Prática | Acessar |
| 34° Aula | Angiotomografia – anatomia, patologias, protocolo | Teórica | Acessar |
| 35° Aula | Angiotomografia – anatomia, patologias, protocolo | Prática | Acessar |
| 36° Aula | Biópsia guiada por TC - anatomia, patologias, protocolo | Teórica | Acessar |
| 37° Aula | Biópsia guiada por TC - anatomia, patologias, protocolo | Teórica | Acessar |
| 38° Aula | Atividade para complementação de conteúdos | Atividade | Acessar |
| 39° Aula | Atividade para complementação de conteúdos | Atividade | Acessar |
| 40° Aula | Avaliação 3 | Avaliação | Acessar |
| 41° Aula | Avaliação Substitutiva | Avaliação | Acessar |
Módulos Principais
Fundamentos da Tomografia Computadorizada
- Histórico e evolução tecnológica
- Princípios físicos e geração de raios X
- Componentes do tomógrafo: gantry, mesa, console
- Gerações de equipamentos de TC
- Detectores e formação da imagem
Técnicas de Aquisição de Imagens
- Aquisição convencional vs helicoidal
- Parâmetros técnicos: kV, mA, pitch, colimação
- Escala de Hounsfield e densitometria
- Protocolos básicos por região anatômica
- Artefatos e controle de qualidade
Protocolos por Região Anatômica
- Crânio e face: protocolos específicos
- Tórax: técnicas de baixa dose
- Abdome e pelve: uso de contrastes
- Coluna vertebral: cervical, torácica e lombar
- Membros superiores e inferiores
Técnicas Avançadas
- Angiotomografia: protocolos e reconstruções
- TC de perfusão e estudos funcionais
- Biópsias guiadas por TC
- TC intervencionista
- Dose de radiação e otimização
Materiais Didáticos
Slides das Aulas
Apresentações completas de todas as aulas teóricas para download.
Atividades Práticas
Exercícios e estudos de caso para fixação do conteúdo.
Exemplos de Exames
Galeria de imagens demonstrando diferentes técnicas e protocolos de TC.